7 Cara Alami Membersihkan Karang Gigi
Memiliki gigi yang rapi, putih dan bersih adalah impian setiap orang
banyak yang rela merogoh kocek yang dalam hanya demi penampilan yang di anggap keren
tak sedikit pula yang antri dan rutin mengunjungi klinik kesehatan gigi untuk membersihkan PLAK alias karang gigi, memasang behel dan mencabut gigi ( aaadddduuuuuhhhhhh)
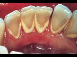
Banyak sekali penyebab timbulnya karang gigi alias plak salah satunya pola hidup yang kurang menjaga kebersihan.Jarang menggosok gigi adalah salah satunya, suka memakan makanan yang mudah menempel di gigi seperti coklat, KOPI dan tentu saja ROKOK
Sebenarnya jika kita rajin menjaga kebersihan gigi. Plak tak akan timbul
Hanya saja terkadang kita malas dan lupa untuk menggosok gigi sesudah makan dan sebelum tidur
Struktur gigi mempunyai celah-celah kecil yang mudah sekali di endapi sisa-sisa makanan jika kita tak rajin menggosok gigi lama-kelamaan sisa makanan akan menimbulkan Plak dan membuat warna gigi menjadi tak putih lagi.
Pada dasarnya rajin menggosok gigi adalah syarat ampuh untuk membuat gigi kita tampak bersih dan putih.. namun jika kita sudah terlanjur memiliki gigi yang kusam karena kebiasaan kita yang kurang menjaga kebersihan berikut ada tips tips agar penampilan gigi kita nampak putih..

Berikut saya coba menyajikan cara-cara membersihkan plak alias karang gigi secara alami
banyak yang rela merogoh kocek yang dalam hanya demi penampilan yang di anggap keren
tak sedikit pula yang antri dan rutin mengunjungi klinik kesehatan gigi untuk membersihkan PLAK alias karang gigi, memasang behel dan mencabut gigi ( aaadddduuuuuhhhhhh)
Banyak sekali penyebab timbulnya karang gigi alias plak salah satunya pola hidup yang kurang menjaga kebersihan.Jarang menggosok gigi adalah salah satunya, suka memakan makanan yang mudah menempel di gigi seperti coklat, KOPI dan tentu saja ROKOK
Sebenarnya jika kita rajin menjaga kebersihan gigi. Plak tak akan timbul
Hanya saja terkadang kita malas dan lupa untuk menggosok gigi sesudah makan dan sebelum tidur
Struktur gigi mempunyai celah-celah kecil yang mudah sekali di endapi sisa-sisa makanan jika kita tak rajin menggosok gigi lama-kelamaan sisa makanan akan menimbulkan Plak dan membuat warna gigi menjadi tak putih lagi.
Pada dasarnya rajin menggosok gigi adalah syarat ampuh untuk membuat gigi kita tampak bersih dan putih.. namun jika kita sudah terlanjur memiliki gigi yang kusam karena kebiasaan kita yang kurang menjaga kebersihan berikut ada tips tips agar penampilan gigi kita nampak putih..
Berikut saya coba menyajikan cara-cara membersihkan plak alias karang gigi secara alami
- Sikat Gigi
Menyikat gigi secara rutin alias teratur
sehabis makan biasakanlah menyikat gigi dengan menggunakan sikat gigi yang berkualitas
terlebih menjelang tidur gosoklah gigi anda secara teratur menjelang tidur
menggosok gigi sebelum tidur adalah cara ampuh menghilangkan plak pda gigi - Kulit Jeruk
Anda dapat memanfaatkan kulit jeruk untuk membersihkan plak pada gigi
cranya adalah anda tinggal menggosok kulit jeruk pada gigi yng sudah terlanjur di hinggapi plak.
gosoklah secara berulang dan rutin untuk mendapatkan hasil yang maksimal - Apal dan Jambu
Selain enak rasanya ternyata buah Apel dan Jambu juga berkhasiat menghilangkan plak
caranya konsumsilah buah apel dan jambu yang banyak mengandung vitamin C secara rutin
hal ini dapat merubah warna gigi anda menjadi lebih putih - Wortel dan Seledri
anda dapat mengunyah wortel dan seledri selang satui jam setelah anda makan
Wortel dan seledri dapat membersihkan sisa-sisa makanan yang anda makan secara alami - Tomat dan Strawberry
gosoklah gigi anda dengan tomat atau strawberry dengan perlahan atau lebih tepatnya oleskan
diamkan selama 5-10 menit.
kemudian berkumurlah dengan air hangat yang di campur baking soda
lakukan secra rutin dan anda akan terkejut dengan hasil yang di dapat - Biji Wijen
cara yang satu ini cukup unik yaitu dengan menggunakan biji wijen
caranya adalah ambil satu genggam biji wijen kunyah biji wijen tersebut selam 5-10 menit
sampai bener benar terasa lembut. INGAT....!! di kunyah saja jangan di telan
kemudian berkumurlah dengan air dingin/hangat terserah anda - Berkumur
cara yang satu ini tergolong cara yang begitu mudah
selain berfungsi untuk membuang sisa-sisa makanan berkumur juga berfungsi menguatkan otot pipi anda sehingga anda akan nampak lebih muda
anda juga bisa menggunakan cairan pembersih mulut
bahasa kerennya mouthwash....
he he he
SELAMAT MENCOBA..!!!!
Comments
Post a Comment